Diagnostic assessments support the information taken from the targeted history and physical examination to arrive at a definitive diagnosis and treatment plan.
The PALS provider requests diagnostic procedures that are appropriate for each clinical situation. Common diagnostic procedures that aid in evaluating the patient’s respiratory and cardiovascular status include:
The arterial blood gas (ABG) gives information about the adequacy of oxygenation and ventilation. The ABG measures the content of oxygen and carbon dioxide that is dissolved in arterial blood plasma. Another feature of ABG analysis is the measurement of arterial pH and bicarbonate. The patient’s acid-base status can be monitored and used to measure the patient’s response to interventions.
The ABG aids in the diagnosis of the following medical conditions:
The partial pressure of arterial oxygen content is not a complete indication of blood oxygen-carrying capacity. A patient with a low arterial hemoglobin concentration and an oxygen saturation of 100% may still not have adequate perfusion because they lack enough red blood cells to supply all the tissues (hypemic hypoxia).
ABG analysis is not readily available in all treatment centers, and the team must not delay treatment while waiting for ABG results. ABG results only pertain to the medical condition of the patient at the time that the sample is taken and may not represent the child’s current condition. Therefore, it is necessary to perform a series of ABG samplings to observe an overall trend in the patient’s condition.
The clinician must interpret the ABG result along with the patient’s clinical history and physical examination. For example, a patient known to have cyanotic congenital heart disease may have chronic hypercarbia and hypoxemia.
A venous blood gas (VBG) should be considered when arterial blood gas analysis is unavailable. Venous blood gases correlate well with arterial blood gases for determining pH status. However, the VBG is of no value in assessing a child’s oxygenation.
A well-perfused child typically has a venous PvCO2 value within 4–6 mm Hg of the arterial PaCO2. A poorly perfused child will have a wider difference when compared with the arterial PaCO2.
A venous blood sample drawn from a central source is preferred over a peripheral source. Tourniquet use and poor perfusion of the extremities may result in a markedly elevated PvCO2 and a lower pH relative to an ABG.

I-STAT Device10
The team can obtain a capillary blood gas if an arterial collection is not available. The capillary blood gas has a comparable pH and PaCO2 to arterial blood. Like venous blood gases, capillary blood gases do not provide actionable values for PO2.
The hemoglobin concentration depicts the red blood cells’ capacity to transport oxygen throughout the patient’s body. The patient’s oxygen content is a product of the patient’s hemoglobin concentration and the hemoglobin’s saturation with oxygen.
Normal venous oxygen saturation is 70–75% when the child’s arterial oxygen saturation is 100%. If the oxygen saturation is lower than normal, then venous oxygen saturation will be 25–30% below the arterial oxygen saturation.
When there is insufficient oxygen in the tissues, the tissues have a compensatory mechanism that causes them to consume more oxygen. Therefore, in cases such as shock, the difference between arterial and venous oxygen saturation can be profound.
Lactate production, metabolism, and tissue breakdown determine arterial lactate levels. Tissue hypoxia in a seriously ill child increases tissue lactate production, causing metabolic acidosis Arterial lactate can be an excellent prognostication tool to measure the pediatric patient’s response to PALS interventions.
This diagnostic modality allows for the continuous monitoring of blood pressure. It utilizes an arterial catheter, a transducer, and a monitoring system. The arterial waveform pattern provides information about systemic vascular resistance and cardiac output.

Cardiac Monitor Arterial Waveform
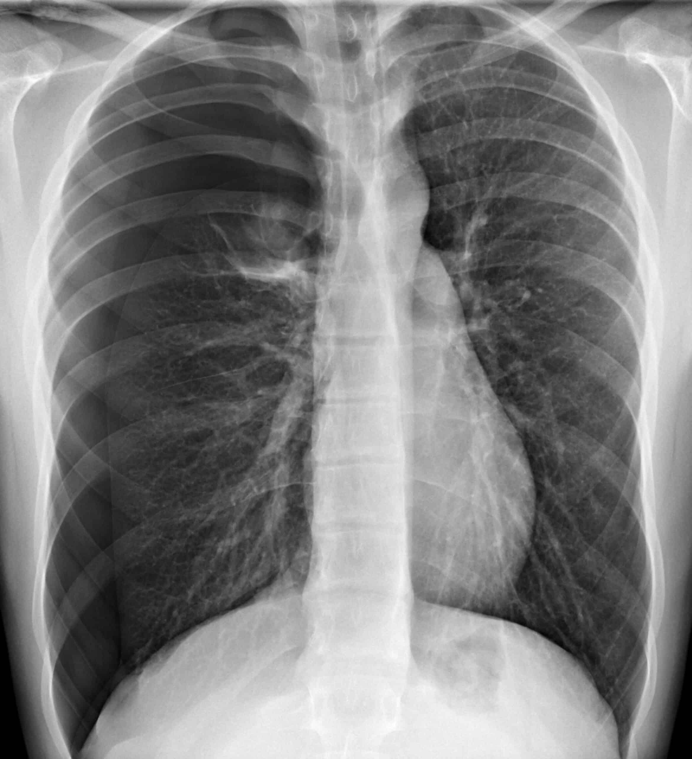
Radiographs are useful diagnostic imaging modalities that can detect airway obstruction, lung tissue disease, pneumothorax, and other pulmonary diseases or conditions that may have compromised the critically ill child. Chest X-rays also help to confirm the correct placement of endotracheal tubes and central lines.

Tension Pneumothorax X-Ray11
The ECG monitors for cardiac arrhythmias. The ECG status of the seriously ill child is usually captured using a 12-lead ECG. This will be discussed in greater detail in later sections.

Infant 12-Lead ECG Application
2-D echocardiography is a noninvasive imaging modality that assesses the anatomic structures of the heart using sound waves. It allows the provider to evaluate heart wall motion and the function of the heart valves. Echocardiography also allows evaluation of the movement of blood through the four chambers of the heart. If a congenital heart defect is present in a child, a 2-D echocardiogram can detect it.

Child’s Heart Echocardiogram
The peak expiratory flow rate (PEFR) measures the child’s ability to exhale air as forcefully as possible. A depressed PEFR may indicate pulmonary obstruction. PEFR measurements are usually performed in patients with acute exacerbations of asthma at the emergency department to assess the severity of the patient’s pulmonary obstruction and response to treatment.
To perform the PEFR, the clinician asks the patient to inhale as deeply as possible and then to exhale as forcefully as possible through a device that can measure airflow (peak flow meter). PEFR may be difficult for a very young or ill child to perform. The forced exhalation may also trigger additional airway constriction.

Peak Flow Meter

A child using a peak flow meter.
10 Abbott i-STAT System Critical Blood Analyzer. 4MDMedical website.
11 Pneumothorax (tension). Merck Manual Professional Version website. Accessed June 9, 2021.
https://www.merckmanuals.com/professional/injuries-poisoning/thoracic-trauma/pneumothorax-tension