Stroke Quiz 1
Quiz Summary
0 of 10 questions completed
Questions:
- 1
- 2
- 3
- 4
- 5
- 6
- 7
- 8
- 9
- 10
The results of your practice test are waiting! Just fill in your email address in the box below, and we will share your results. You’ll only need to enter your email one time. After taking your next practice exam, you’ll receive your results as soon as you click on “Submit.”
Once you pass five practice tests, a 20% discount coupon will immediately be sent to the email address you provided.
| You must specify an email address. |
You have already completed the quiz before. Hence you can not start it again.
Quiz is loading…
You must sign in or sign up to start the quiz.
You must first complete the following:
Results
Time has elapsed
Try Again. You didn’t get a passing score.Congratulations! You Passed.
You got 0 out of 0 correct and scored 0. Review your incorrect answers and try again.
Earned Point(s): 0 of 0, (0)
0 Essay(s) Pending (Possible Point(s): 0)
Categories
- Not categorized 0%
Earn a 20% Discount on Your Next Certification Course!
ACLScertification.org is proud to offer a 20% discount to students who successfully pass 5 of our practice tests in one sitting. Currently, you have passed 0 of the 5 required tests. Start testing your skills and earning your discount now in our Practice Exam Section.
- 1
- 2
- 3
- 4
- 5
- 6
- 7
- 8
- 9
- 10
- Answered
- Review
- Question 1 of 10
1. Question
1. What is the pharmacologic management for malignant hypertension in patients with acute stroke who are candidates for recombinant tissue plasminogen activator therapy?
CorrectIncorrect - Question 2 of 10
2. Question
2. A 48-year-old man is diagnosed with ischemic stroke and is being considered for fibrinolytic therapy. Which of the following is an exclusion criterion for fibrinolytic therapy?
CorrectIncorrect - Question 3 of 10
3. Question
3. A 57-year-old man developed facial drooping, slurred speech, and weakness on the left side. You suspect the patient had a stroke and are determining whether surgical or pharmacologic treatment is needed for this patient, depending on the type of stroke. Which of the following is the most common type of stroke?
CorrectIncorrect - Question 4 of 10
4. Question
4. A 57-year-old man has developed facial drooping, slurred speech, and weakness on the left side. Suspecting the patient has had a stroke, you need to determine whether he needs surgical or pharmacologic treatment, and this depends on the type of stroke. Which of the following is the most common type of stroke?
CorrectIncorrect - Question 5 of 10
5. Question
5. A patient is being assessed as a potential candidate for fibrinolytic therapy. Which of the following is a relative contraindication to fibrinolytic therapy in this patient?
CorrectIncorrect - Question 6 of 10
6. Question
6. A patient with a stroke should be admitted to a stroke unit or critical care unit within how many hours of being brought to the ED?
CorrectIncorrect - Question 7 of 10
7. Question
7. A patient with suspected stoke has no evidence of hemorrhage on a CT scan and is a candidate for fibrinolytic therapy. Which one of the following is correct?
CorrectIncorrect - Question 8 of 10
8. Question
8. A patient with suspected stroke is brought to the emergency department. Within what timeframe from the patient’s arrival should the CT scan be completed and ready for interpretation?
CorrectIncorrect - Question 9 of 10
9. Question
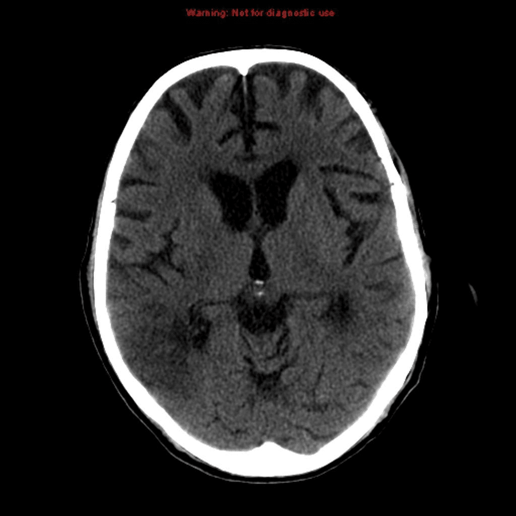
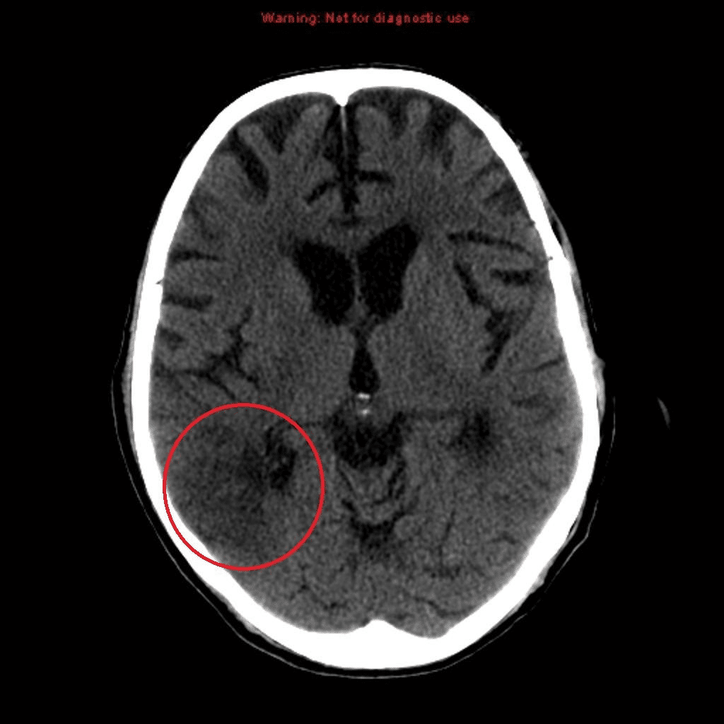
9. A patient’s stroke symptoms began 2 hours ago. In the emergency department, she has the following CT scan of the head:


What is the next most appropriate step?
CorrectIncorrect - Question 10 of 10
10. Question
10. According to AHA recommendations, what other management of acute stroke increases the treatment window time to 6 hours from the onset of symptoms?
CorrectIncorrect