ACS and STEMI Systems of Care
ACLS Certification Association videos have been peer-reviewed for medical accuracy by the ACA medical review board.
Article at a Glance
- STEMI is the most common cause of adult cardiac arrest.
- ACS systems of care (SOC) must incorporate prehospital, in-hospital, and post-hospital care.
- Ongoing care in the community, including addressing risk factors, is important to prevent STEMI recurrence after patient rehabilitation.
The most common cause of cardiac arrest in adults is ST-elevation myocardial infarction (STEMI).1 Therefore, hospitals should have a well-organized SOC. A proposed structure includes prevention, early recognition, EMS, ED, hospital, specialty cardiac center, rehabilitation, and secondary prevention community resources.

During a STEMI, the electrocardiogram shows ST elevation.
First, bystanders or others must recognize a patient is experiencing an acute coronary syndrome (ACS). If there is a high suspicion, the bystander calls 9-1-1. The dispatcher gives the bystander important instructions before the EMS team arrives, such as administering aspirin to improve myocardial blood flow.
When EMS arrives, a 12-lead ECG confirms the diagnosis. Once confirmed, EMS may provide prehospital treatments such as:
- Aspirin
- Nitroglycerin
- Morphine
- Fibrinolytic
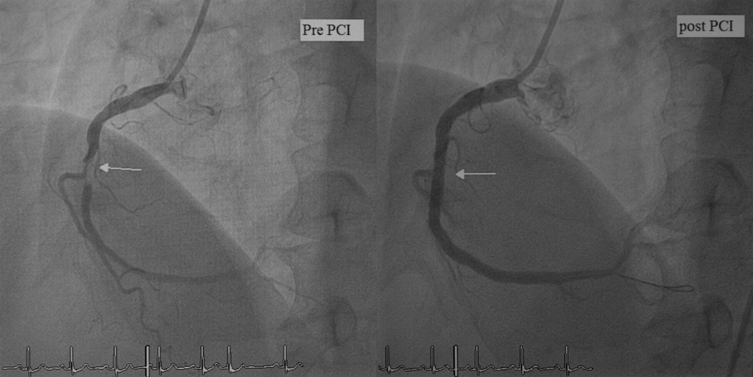
The patient is transferred to an institution where catheterization with primary percutaneous coronary intervention (PCI) is available.

The percutaneous coronary intervention (PCI) procedure involves placing a stent to open the blocked blood vessel.
The protocol for prehospital fibrinolysis requires a complete infrastructure of readily available provider specialists and easily accessible institutions specializing in cardiac catheterization.2
The SOC includes well-established protocols, available medical oversight personnel, comprehensive training programs, and consistent quality controls.
Read: Systems of Care: Out-Of-Hospital Cardiac Arrest
Rehabilitation may occur in hospital or in the community, depending on the severity and the patient’s response to interventions.3 Secondary interventions are dependent on the patient’s community and may include ongoing care from the patient’s primary care physician with access to cardiac specialists as needed, as well as educational programs to address and mitigate risk factors.

The systems of care for ACS and STEMI.
Related Video – Acute Coronary Syndrome – Managing STEMI
The most common cause of adult cardiac arrest is STEMI, so hospitals should have an effective SOC in place. ACS systems of care should incorporate prehospital, hospital, and post-hospital care. Rehabilitation happens in the hospital or community, while secondary interventions depend on the patient’s community. Ongoing community care, such as addressing risk factors, is important to prevent STEMI recurrence.Summary
More Free Resources to Keep You at Your Best
Editorial Sources
ACLS Certification Association (ACA) uses only high-quality medical resources and peer-reviewed studies to support the facts within our articles. Explore our editorial process to learn how our content reflects clinical accuracy and the latest best practices in medicine. As an ACA Authorized Training Center, all content is reviewed for medical accuracy by the ACA Medical Review Board.
1. Cleveland Clinic. STEMI Heart Attack. 2021.
2. Y. Chandrashekhar, Thomas Alexander, Ajit Mullasari, Dharam J. Kumbhani, Samir Alam, Erick Alexanderson, Damodar Bachani, Jacobus Cornelius Wilhelmus Badenhorst. Resource and Infrastructure-Appropriate Management of ST-Segment Elevation Myocardial Infarction in Low- and Middle-Income Countries. American Heart Association. 2020.
3. Petr Winnige, Robert Vysoky, Filip Dosbaba, and Ladislav Batalik. Cardiac rehabilitation and its essential role in the secondary prevention of cardiovascular diseases. World Journal of Clinical Cases. 2021.

